Congratulations to me - my first A&P I test is now done...how'd I do? I felt ok after the test was completed. I think I did as well as I could, considering that I was overly hungry (but not hungry because I was overly nervous) and wound up about the test. I got to school mid-morning and didn't stop reading until 3:00pm - the test began at 3:30pm.
My friends said that my blog needed some pictures ASAP - so here's what I took pictures of today...

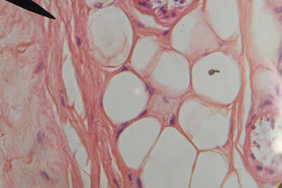
These big white areas are adipose tissue - bettern known as fat cells...and no, they aren't mine but I have plenty like those... =) And that little brown thing on one of the cells - just dirt on the slide.

These are simple cuboidal epithelium...these are found in your kidneys...

This is a mucous membrane - the little white things are goblet cells that secrete mucous...these ones belong in your intestines.
I did get the quick chance to take this one at the hockey rink, when I picked up the girls while Dylan had practice...

I wish Melody was looking at me too - Angelica keeps losing teeth...see the little space in her mouth...there's already a tooth there - she just lost it 2 days ago.

I was fortunate enough to get this one of Melody - I wish she was looking at me. I am forever wishing that she was looking at me!
Another test at school coming up in a week - a lab practical test...identifying different bones, tissues on slides and markings....shoot me already!
Poor Dylan - he had to leave practice early because he came down with the flu...thankfully, he is the last. Adam got the fatigue version of the flu...I can't wait until spring - and the end of flu season!
1 comment:
those pictures came out so good!
hope you did well on the test- i bet you got the 138. happy studying, see ya wednesday!
Post a Comment